ログイン
▼ 記事の種類
一般記事
商用記事
募集記事
▼ カテゴリ
政治社会
ビジネス経済
メディア情報
エンタメ
家庭生活
食品グルメ
衣料ファッション
美容恋愛
趣味スポーツ
医療健康
科学技術
ITモバイル
おもちゃ遊び
教育資格
仕事ワーク
▼ ランキング
最近の人気記事
今日の人気記事
今週の人気記事
今月の人気記事
新規投稿
最近の投稿
モバイル版
▲ トップ
■ 記事
▼ コメント
-記事の種類-
一般記事
商用記事
募集/広報
イベント
-カテゴリ-
政治社会
ビジネス経済
メディア情報
エンターテイメント
家庭生活
食品グルメ
衣料ファッション
美容恋愛
趣味スポーツ
医療健康
科学技術
ITモバイル
おもちゃ遊び
教育資格
仕事ワーク
-対象の地域-
地域無し
北海道東北
関東地方
甲信越北陸
東海地方
近畿地方
中国四国
九州沖縄
北海道東北
北海道
青森県
岩手県
宮城県
秋田県
山形県
福島県
関東地方
茨城県
栃木県
群馬県
埼玉県
千葉県
東京都
神奈川県
甲信越北陸
山梨県
長野県
新潟県
富山県
石川県
福井県
東海地方
静岡県
愛知県
岐阜県
三重県
近畿地方
滋賀県
京都府
大阪府
兵庫県
奈良県
和歌山県
中国四国
鳥取県
島根県
岡山県
広島県
山口県
徳島県
香川県
愛媛県
高知県
九州沖縄
福岡県
佐賀県
長崎県
熊本県
大分県
宮崎県
鹿児島県
沖縄県
海外
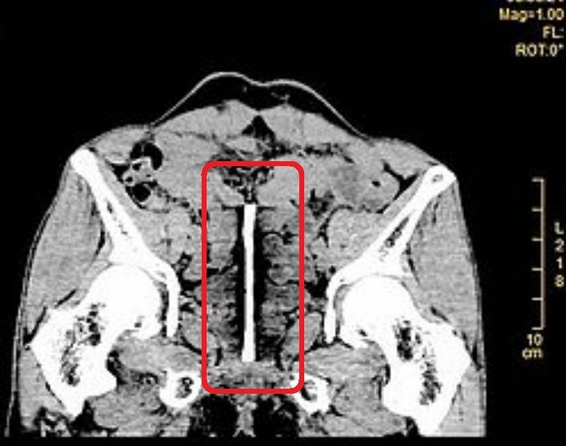
【中国】ペニスを大きくしたい為に尿道に13センチの鉄の棒を刺した男性
一般記事
エンターテイメント
海外
2014/10/18 18:22 更新
【中国】ペニスを大きくしたい為に尿道に13センチの鉄の棒を刺した男性
ネタ師
自分のペニスに自信が無い52歳の「Kang Niu」さん。何を思いたったのか自分のペニスに13センチの鉄の棒を入れたとの事です。
http://www.queerty.com/home-medicine-20141013
>投稿者メニュー
3953ビュー/ 0コメ
ユーザー機能
閉じる
キーワード編集
ツイート
※ログイン時のみ利用可能です
■中国
投稿者おすすめ商品
シティーハンター
ドーン
おぺにぺに
BL
亜鉛
お知らせ
Info@Chibira
Chibiraでは一緒に遊んでくれる人を募集中です。
面白い話題やニュースに雑談。
商品やサービスにお店の案内。
各種イベントや音楽/動画の紹介。
人に伝えたい事なら自薦/他薦 個人/団体を問わずなんでもウェルカムでお待ちしてます。
一緒にサイト運営に参加&協力していただける方も合わせて募集中です。
詳しくは「こちら」へ
>記事本文
>記事履歴
>記事ソース
>お問い合せ
投稿者おすすめ商品
最近の人気記事
コメント
>最近の人気記事
最近のコメント
【Twitter】おにゃのこのカップサイズと実際の胸の大き...
やぎ
【アニメ】新しいセーラームーンの画像が発表されたみ...
うん
【ロート】ワインに発毛促進物質を発見
毛沢山@hage
【動画】漫画「ベルセルク」40巻記念PV
匿名さん
【ツイッター】クッパ姫というのが人気沸騰中のようで...
ネタ師@neta
【ゲーム】とある魔術と科学の群奏活劇
G
【Twitter】東京で10人死ぬと、
名無しの権兵衛
【ランキング】ユーチューバーの年収(予想)ランキン...
匿名希望さん
【お久しぶり】田代まさしさん、スカート内を盗撮容疑...
匿名希望さん
14式 多脚戦車
匿名希望さん
美術刀剣販売龍神堂
匿名希望さん
【動画】変身ランクの高い女達
匿名希望さん
【宇宙】高強度レーザーによるスペースデブリ除去技術...
匿名希望さん
【エナジードリンク】「お嬢様聖水」売り切れ続出?
匿名希望さん
【日記マンガ】俺日記「戦艦の知識の無い俺が艦これに...
記事投稿者
ホーム
Chibira -
利用規約
お問合せ
モバイル版